Yes Dental Clinic logo - Best dentist in Setia Alam and Shah Alam
ICON Treatment treatment at Yes Dental Clinic

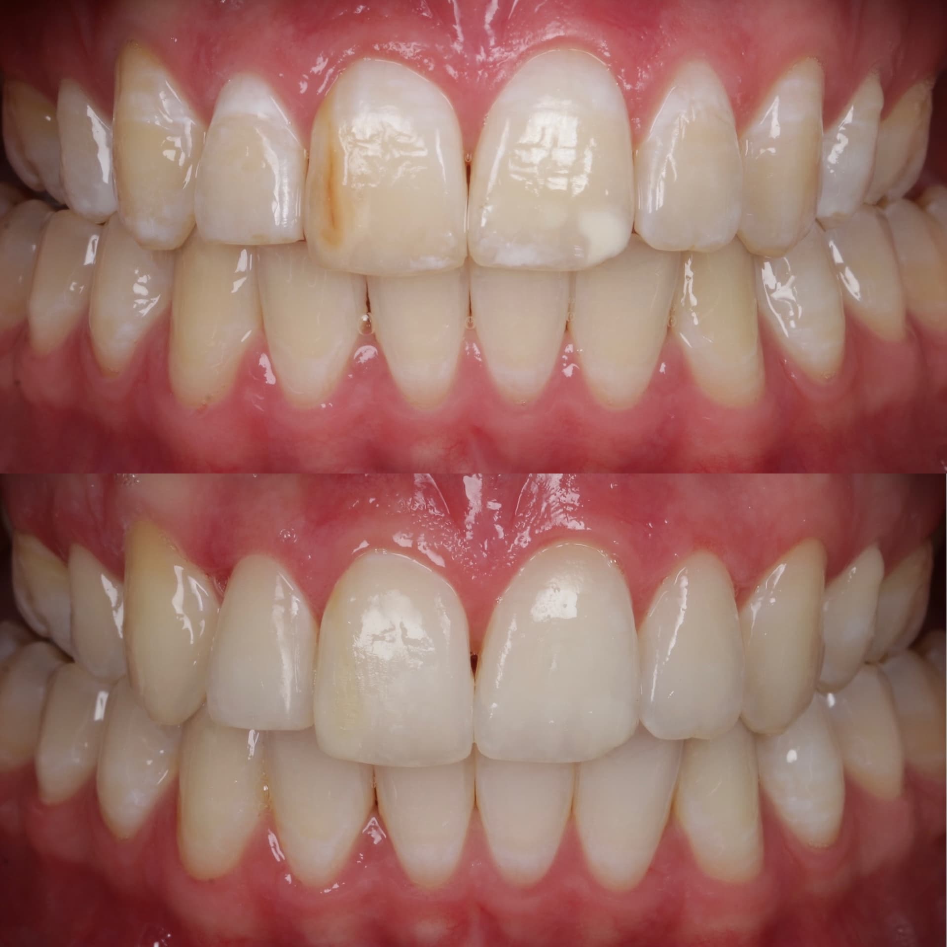
ICON Treatment

A minimally invasive solution to treat white spots and early signs of decay without drilling.

Who Can Benefit from ICON Treatment?

ICON is most effective for patients with:

  • Early-stage cavities → Decay limited to the enamel layer.
  • White spot lesions → Often from braces, fluorosis, or demineralisation.
  • Cosmetic concerns → Uneven or discoloured enamel.
  • Patients wanting a non-invasive alternative to fillings.

ICON is especially popular among patients who want to avoid drilling but still improve both dental health and appearance.

Benefits of ICON Treatment

  • Non-invasive → No drilling or injections.
  • Pain-free → Ideal for patients with dental anxiety.
  • Preserves natural tooth structure.
  • Stops decay progression before it worsens.
  • Cosmetic improvement → White spots blend seamlessly with enamel.

What to Expect During ICON Treatment

  • 🕒 Quick → Usually completed in under an hour.
  • 🚫 No downtime → Return to normal activities immediately.
  • Immediate results → Both health and appearance improve instantly.

Frequently Asked Questions About ICON

Does ICON treatment hurt?

No—it's completely painless. No drilling, no needles.

Can ICON treat all cavities?

ICON works best for early enamel decay. Deeper cavities may still require traditional fillings.

Will white spots disappear completely?

Most patients see dramatic improvement, with white spots blending naturally into the surrounding enamel.

Why Choose Yes Dental for ICON Treatment in Setia Alam?

At Yes Dental Clinic, we use the latest techniques like ICON to provide patients with:

  • 🦷 Minimally invasive care that preserves natural teeth.
  • 😊 Enhanced aesthetics for a confident smile.
  • 👩‍⚕️ Experienced dentists trained in modern restorative methods.

Say YES to healthy, beautiful teeth with ICON treatment. Book your consultation with Yes Dental Clinic in Setia Alam today and discover how this painless, effective solution can restore your smile.

Say YES to your next dental visit

We know a trip to the dentist can be scary for some. Here in Setia Alam, families trust us because we take the time to listen, to reassure anyone feeling nervous, and be patient with our patients. We're proud to be part of this community, caring for neighbours who soon become friends. When you say YES to your next dental visit, you're saying yes to a team that treats you like family and celebrates every smile with you.